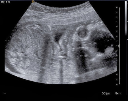
Šestý měsíc (25. týden)
Pro velký úspěch blonďatého projektu vám přinášíme druhé kolo našeho pupkatého příběhu :). A už je pěkně vykutálenej!
No co k tomu dodat?
- kontroly a ultrazvuky jsme skrouhli na absolutní minimum
- víme ale, že by se nějaký mímo mělo narodit koncem března

- zatím vypadá akurátní velikosti i počtu končetin
- teď by mohlo mít kolem 30 cm a 600 gramů
- a FUUURT sebou mele

A je tó….
brácha
nebo ségra?
… jen se nechte zase pěkně překvapit ![]()


1 reakce nize
už sa moc tešíme a držíme palce,
Chcete neco dodat?